首页 >> 寻医问药

肠子变黑了怎么办?——浅谈结肠黑变病

2024-02-28 寻医问药 19765 作者:贝莱孕育

大家或许对结肠黑变病并不了解。这里先讲个病例。张女士,人到中年有些发福,为了减肥而服用了近半年的含有芦荟的通便茶。近半月无明显诱因排便费力,前来本中心就诊。经肠镜检查发现肠子看上去黑黢黢的,变成了豹纹样,并且发现了4枚0.4~0.6 cm大小的山田I/II型息肉。这是怎么回事?下一步该如何处理?笔者作为消化科医生给你慢慢道来。

1. 什么是结肠黑变病?

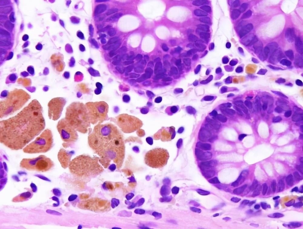
结肠黑变病是以结肠黏膜黑色素沉着为特征的非炎症性肠病,其本质是结肠黏膜固有层内巨噬细胞吞噬了大量脂褐素,导致结肠变黑。

在我国结肠黑变病得肠镜检出率约在1%~2%,但因便秘而长期服用泻药的老年患者检出率高达44.4%,随着我国老龄化得加快,饮食结构及生活方式的改变,便秘患者增加,该病的发病率呈现明显的上升趋势。

2. 结肠黑变病从何而来?

长期口服泻药是引起结肠黑变病的主要原因,其中尤以蒽醌类药物(番泻叶、大黄、生首乌、决明子、芦荟等)为主,含有蒽醌成分的中成药有大黄附子丸、牛黄解毒片,麻仁丸、胆宁片、一清胶囊、润肠丸、肾衰宁胶囊等。此外,酚酞片(果导片)和二苯甲烷类泻药(如比沙可啶)亦可引起结肠黑变病。黑变病的程度与服用上述泻剂的时间及总量成正比关系。

3. 得了结肠黑变病会有哪些不舒服?

腹胀、便秘及排便困难,少数患者有下腹部隐痛及食欲欠佳等。部分患者有低血钾、低血钠、低血钙,偶见水肿性结肠狭窄,较多伴发结肠癌、腺瘤和息肉。

4. 如何诊断结肠黑变病?

确诊依据就是肠镜下见结肠黏膜有不同程度的色素沉着,病理组织学检查发现黏膜固有层内有大量含有色素颗粒的巨噬细胞,黑色素染色阳性,而铁染色阴性。

5. 结肠黑变病有什么危险?

值得注意的是,结肠黑变病患者中结肠息肉的发病率明显高于其他人群,而结肠息肉是一种明确的癌前病变。尽管目前对于结肠肿瘤与结肠黑变病是否有因果关系还不能确定,但警惕患结肠黑变病后有可能发生结肠癌是必要的。

6. 结肠黑变病内镜下如何分级?

结肠黑变病在内镜下表现为,结肠黏膜光滑、完整,可见浅棕色、棕褐色或黑色的色素沉着,呈条纹状、斑片状、虎皮状改变,可网络状间断或连续分布,肠腔明显变暗。

根据肠黏膜色素沉着的程度,将结肠黑变病分为Ⅲ度:

Ⅰ度呈浅黑色,类似豹皮,黏膜血管纹理隐约可见,病变多较局限,与周围正常黏膜分界不很清楚。

Ⅱ度暗黑褐色,在暗黑褐色黏膜间有线条状的乳白色黏膜,多见于左半结肠或某一段结肠黏膜上,黏膜血管不清楚,与正常黏膜有明显分界。

Ⅲ度深黑褐色,在深黑褐色黏膜间有细小乳白色线条状或斑点状黏膜,黏膜下血管看不见,此种表现多见于全结肠型。从病变发生的部位来看,如病变局限则多见于近段结肠,严重时可累及全结肠。

7. 结肠黑变病的预防与治疗?

目前,对结肠黑变病的治疗尚无特效药物治疗。多数学者认为,结肠黑变病是一种良性可逆性的非炎症性肠道黏膜病变,随着便秘症状改善和泻药停用,大量脂褐素经溶酶体消化、分解,结肠的色素沉着可减轻甚至消失。停用不良泻药,可逆转已经产生的病变。

对于已经确诊为结肠黑变病的患者,要定期随访肠镜,及时发现伴发的结肠息肉、腺瘤及结肠癌,早期内镜下进行高频电切或手术根除治疗。

关于我们

惠州供卵公司联系方式✅微信ivf0096✅只需8~14天,年龄18~28岁✅按身高,学历,长相✅分二代三代来决定价格✅来回报销车费✅提供吃住,惠州供卵机构和正规供卵医院合作✅

最火推荐

小编推荐

联系我们


Copyright Your beilaiivf.cn Rights Reserved. 备案号:鄂ICP备15020773号-13
网站所载资料并非有意侵犯您的版权,如需删除投诉,请邮件联系我们及时处理。